Terminvereinbarung, Anforderung von Rezepten und Überweisungen rund um die Uhr ohne Warteschleife unter:

09 11 - 98 160 145

Femoroacetabuläres Impingement (FAI)

Das FAI ist eine mögliche Ursache für die Ausbildung einer Arthrose am Hüftgelenk (Coxarthrose).

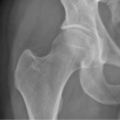
Röntgenbild Arthrose am Hüftgelenk (Coxarthrose)

Zugrunde liegt hier eine mechanische Störung, bei der der Oberschenkelhals bei Bewegung am Pfannenrand anschlägt (engl. to impinge = anschlagen). Hier kann man 2 Ursachen unterscheiden:

CAM-Impingement

Beim CAM-Impingement (engl. cam = Nockenwelle) besteht eine Störung des Kopf/Schenkelhalses bei dem eine fehlende Taillierung dazu führt, dass bei Beugung der Schenkelhals am Rand der Hüftpfanne anschlägt und dabei das Labrum acetabuli (Gelenklippe) und den Knorpel verletzt. Betroffen sind eher sportliche Männer.

Pincer-Impingement

Beim Pincer-Impingement (engl. pincer = Zange) steht der Hüftkopf zu tief in der Pfanne. Auch hier schlägt der Hüftkopf an der Hüftpfanne an und führt zu Verletzungen des Labrums. Hiervon betroffen sind in der Mehrzahl Frauen.

Oft liegt auch eine Kombination der beiden Typen vor.

  • Symptome
  • Schmerzen in der Leiste und/oder im Gesäß, meist stechend und einschießend
  • Schmerzen bei der Hüftbeugung
  • Schmerzen bei langem Sitzen
  • Bewegungseinschränkung der Hüfte
  • Oftmals wird eine Adduktorenzerrung, Schambeinentzündung oder „weiche Leiste“ fälschlicherweise diagnostiziert.
  • Diagnostik

Schon die körperliche Untersuchung mit bestimmten Tests lässt in vielen ein FAI wahrscheinlich erscheinen. Unerlässlich ist ein Röntgenbild der Hüfte. Zusätzlich ist in manchen Fällen eine Ultraschalluntersuchung zur Beurteilung eines Leistenbruches, eines Gelenkergusses oder einer Muskelverletzung sinnvoll. Besteht dann der hochgradige Verdacht auf ein FAI ist eine MRT-Arthrographie der betroffenen Hüfte unerlässlich. Hierbei wird ein Kontrastmittel ins Gelenk injiziert, um den Zustand des Labrums darstellen zu können.

Therapie

Da das FAI ein mechanisches Problem darstellt und zu einer vorzeitigen Hüftgelnksarthrose führen kann, sind die konservativen Behandlungsmaßnahmen limitiert. Der Verzicht auf hüftbelastende Sportarten (z.B. Kampfsport, die meisten Ballsportarten…) und der Umstieg auf gelenkschonende Sportarten wie Radfahren gepaart mit Physiotherapie kann den Prozess der Gelenkzerstörung verlangsamen. Bei jungen, sportlichen Patienten ist jedoch die operative Therapie durch eine Spiegelung der Hüfte und in seltenen Fällen auch eine offene Operation zu empfehlen.