Terminvereinbarung, Anforderung von Rezepten und Überweisungen rund um die Uhr ohne Warteschleife unter:

09 11 - 98 160 145

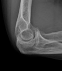
Ellenbogenarthrose

Die Arthrose im Allgemeinen ist die Erkrankung eines Gelenkes, welche letztendlich zum Abbau bis hin zum kompletten Verlust des Knorpels führt. Neben dem „normalen“ Verschleiß sind häufig Unfälle und deren Folgen (Bruch mit Stufe im Gelenk, freie Gelenkkörper, Verwachsungen oder Narben) Ursache für die Arthrose. Aber auch langanhaltende Überbelastung oder Fehlstellungen können dazu führen. Desweiteren gibt es seltene Erkrankungen wie die synoviale Chondromatose (Umwandlung von Zellen in Knorpelzellen).

Typische Beschwerden sind Schmerzen, zunächst meist in Bewegung, später auch in Ruhe, oftmals gepaart mit dem für Arthrosen typischen Einlaufschmerz (Verschwinden der Schmerzen nach Bewegung). Im weiteren Verlauf kommt es zu Bewegungseinschränkungen, Schwellung und evtl. auch zu einem „Knirschen“ bei Bewegung.

Die Diagnose wird durch die körperliche Untersuchung und durch Röntgenaufnahmen gestellt. In manchen Fällen ist ein CT oder MRT notwendig.

Abzugrenzen sind die Arthrofibrose - eine Entzündung im Gelenk, die zu einer überschießenden Bildung von Bindegewebe mit schmerzhafter Bewegungseinschränkung führt. Dies kann nach Traumen oder Operationen auftreten, aber in vielen Fällen bleibt die Ursache unerkannt.

Des Weiteren abzugrenzen ist die Epicondylitis des Ellenbogens

Die Behandlung erfolgt zur Linderung etwaiger Schmerzen und Besserung der Beweglichkeit mit Physiotherapie und physikalischer Therapie. Ergänzend kann Akupunktur  oder auch ein Funktionstape (Linderung) bringen.

In manchen Fällen ist eine operative Therapie, entweder als Gelenksspiegelung oder Eröffnung des Gelenkes (z.B. Entfernung freier Gelenkkörper) , erforderlich. Bei weit fortgeschrittener Arthrose besteht die Möglichkeit eines Gelenkersatzes.